Tag: Heidelberg Engineering
Getting It Right With Scleral Lenses: A PKP Case Using Anterion...
Scleral lenses have become a cornerstone of modern optometric care, particularly for patients with complex anterior segment disease. Conditions that once resulted in limited...
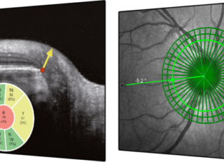
Red and Green Indicators: A New Perspective on Glaucoma
The central theme of the discussion is the potential confusion caused by red and green indicators on scans, which are commonly misunderstood. These indicators suggest abnormality (red) and normalcy (green), but this is not always true. The traditional interpretation of these colors can lead to misdiagnoses if not carefully considered in the broader clinical context. This article aims to highlight the importance of examining scans purposefully to avoid misinterpretations and ensure accurate diagnosis and treatment.
Revolutionary Glaucoma Imaging: Heidelberg Engineering’s Glaucoma Module Premium Edition
The SPECTRALIS® Glaucoma Module Premium Edition combines the proprietary Anatomic Positioning System (APS) with a series of unique scan patterns to assess the optic nerve head, the retinal nerve fiber layer, and the macular ganglion cell layer. In this episode, our glaucoma expert host, Dr. Chris Lievens, brings his unique flair to the table as he interviews esteemed experts in the field to discuss Heidelberg Engineering's Glaucoma Module Premium Edition.
What is Geographic Atrophy? Making the Invisible, Visible 👀
On today's podcast, Dr. Chris Lievens sits with two retinal experts, Drs. Jessica Haynes and Steven Ferrucci. They discuss geographic atrophy, covering the disease state, diagnosing with the Heidelberg Engineering SPECTRALIS OCT, and the importance of the doctor-patient relationship.






